
Table of Contents
-
What Is An Underbite?
-
What Causes an Underbite?
-
Why Is Treating an Underbite Important?
-
Treatment Options for Underbites
-
Braces vs. Clear Aligners: Which Is Better for Underbites?
-
Invisalign vs. Smilepath: Comparing Clear Aligner Options
-
Surgery for Severe Cases
-
Maintaining Results After Underbite Treatment
-
How Smilepath Aligners Correct Underbites?
-
How Smilepath NZ Fits In?
-
Customer Success Stories
-
Emma J
-
Recap
-
FAQs
An underbite is one of the most common dental conditions where the lower teeth are positioned in front of the upper teeth. Whether you're experiencing discomfort or concerned about your smile, it's essential to understand the causes, effects, and treatment options available. In this blog, you will find all the information you need about underbites and how the SmilePath NZ aligners can help you achieve the smile of your dreams.
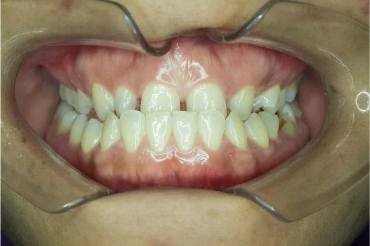
What Is An Underbite?
An underbite or class III malocclusion is where the lower teeth overlap the upper teeth and the mandible protrudes forward of the maxilla. This mismatch may cause the lower teeth to protrude forward.
The following are visible indicators of an underbite:
- The position in which lower teeth protrude outside the upper teeth when the mouth is closed.
- Difficulty biting or chewing.
- An uncomfortable sensation in the jaws when chewing or speaking.
What Causes an Underbite?
The common causes of underbite include the following.
1. Genetic Predisposition
Most of the time, an underbite is genetic. Underbite is also greatly influenced by medical issues; if your parents or any close relative had them, you are likely to have them.
2. Childhood Habits
Some childhood activities like thumb sucking, use of a pacifier for a long time, or bottle feeding may cause improper growth of the lower jaw leading to an underbite.
3. Jaw Injuries or Abnormal Tooth Alignment
Other causes of underbite include injuries or trauma to the jaw in childhood or adulthood. Furthermore, an underbite may eventually result in poor tooth misalignment.
Why Is Treating an Underbite Important?
1. Oral Health Concerns
If an underbite is not treated, it can result in gum disease, tooth wear, and jaw pain. When teeth are misaligned, they malfunction, which puts more strain on the jaw joints.
2. Impact on Speech and Chewing
In the case of underbite, these difficulties arise as normal pronunciation and chewing capabilities are altered, making it difficult to perform daily activities such as eating and speaking.
3. Aesthetic and Confidence Issues
The visibility of an underbite is linked to negative impacts on confidence and self-esteem. However, it can be treated efficiently, resulting in substantial changes in the appearance and functionality of the mouth.
Treatment Options for Underbites
Braces vs. Clear Aligners: Which Is Better for Underbites?
Feature | Braces | Clear Aligners |
---|---|---|
Visibility | Visible metal or ceramic | Virtually invisible |
Comfort | Can cause discomfort | Comfortable |
Convenience | In-office required | At-home treatment |
Removability | Fixed, non-removable | Removable for eating, cleaning |
Effectiveness | Suitable for severe cases | Best for mild to moderate cases |
Cost | More expensive | Generally more affordable |
Invisalign vs. Smilepath: Comparing Clear Aligner Options
Feature | Invisalign | Smilepath |
---|---|---|
Cost | More expensive, typically between $5,000 and $8,000 | Affordable, typically between 1800 to $2000 |
Treatment Process | In-office examinations and consultations | Remotely monitored at-home treatment |
Visibility | Almost invisible and transparent | Almost invisible and transparent |
Comfort | Comfortable, there may be some initial pressure | Smooth-fitting and comfortable |
Removability | Detachable for cleaning and eating | Detachable for cleaning and eating |
Treatment Duration | Generally, 12 to 24 months | Varies 6-18 months, depending on the severity of the case |
Convenience | Calls for frequent in-office visits | No in-person meetings; entirely online |
Suitability for Severe Case | Effective for mild to severe situations | Best for mild to severe situations |
Customizability | Completely customized, with orthodontists making adjustments daily | Personalized aligners with remote check-ins based on impressions |
Payment Options | Limited options for flexible payment plans | Adjustable payment schedules designed to be affordable |
Surgery for Severe Cases
There are certain exceptions, as severe underbite may require surgery to correct and may not be addressed with aligners alone. This alternative involves repositioning the jaw to enhance alignment.
Maintaining Results After Underbite Treatment
Here are some tips for long-term oral health and alignment:
Wear Retainers
Retainers are required after treatment to ensure teeth remain in their new placements.
Regular Check-ups
To maintain the health of your teeth and gums, it is advised that you visit the dentist frequently for examinations.
Good Oral Hygiene
Brush and floss every day to maintain a regular oral hygiene schedule.
How Smilepath Aligners Correct Underbites?

A popular product at Smilepath, clear aligners help address underbite issues without compromising the patient’s appearance. Here’s how Smilepath works:
Consultation
Firstly, your treatment process begins with an online consultation, Smilepath will evaluate your bite and map out the best plan for you.
Custom Aligners
After your plan is finalized, you will receive a set of personalized clear aligners tailored to your specific needs.
Gradual Correction
You will wear them throughout the day while gradually moving the teeth to the right position.
Follow-up Care
SmilePath provides post-treatment services so that patients will be monitored on how their treatments are going.
How Smilepath NZ Fits In?
● Trusted Provider
Smilepath is one of the top providers of clear aligners for treating underbite and related issues.
● Affordable Treatment
SmilePath established affordable pricing policies to make underbite treatment affordable in New Zealand. They also offer affordable payment plans that can be arranged to complement your lifestyle and budget.
● At-Home Convenience
Smilepath's treatment method allows you to straighten your teeth at home, and it includes remote check-ins and individualized assistance from orthodontic specialists.
Customer Success Stories
Emma J
I never thought I could afford treatment for my underbite, but SmilePath's flexible payment options made it possible. At the end of this study, I was shocked to discover that the treatment plan from home was very smooth. The aligners were nicely designed, and after 9 months I got a corrected bite. I can laugh loud again and there was no stress at all.
Recap
Underbites can cause severe problems with oral health and even self-esteem, which is why proper treatment should be provided. SmilePath NZ offers a contemporary, accessible, and cost-effective option through its clear aligners aimed at underbite treatment. Smilepath transparent aligners can be a good option if you are considering underbite treatment, to achieve a healthier and more confident beautiful smile without the discomfort and visibility of metal braces.
FAQs
A: An underbite is a situation where the lower teeth sit beyond the upper teeth. This may be noticed when you realize your teeth do not close correctly, or have difficulty biting or chewing.
A: Yes, Smilepath clear aligners are designed to fix bite problems, including underbite, by gradually shifting the teeth into alignment.
A: Treatment time varies depending on the degree of underbite but generally ranges from 6 to 18 months with Smilepath aligners.
A: As transparent aligners are more comfortable and nearly undetectable than traditional braces, they can address underbite.
A: The Smilepath aligners are designed for comfort. Since the teeth are gradually moved to a better position, a little pain can be expected at the start of the treatment.