Our Blogs & Resources
Read about our discoveries, and the evolution of work.
Blog

White Spots on Teeth – Easy Ways to Treat Them
Table of Contents What Exactly Are White Spots on Teeth? Common Causes of White Spots on Teeth How to Remove White Spots Naturally Mineral-Rich Toothpaste Reduce Acidic and Sugary Foods...
White Spots on Teeth – Easy Ways to Treat Them
Table of Contents What Exactly Are White Spots on Teeth? Common Causes of White Spots on Teeth How to Remove White Spots Naturally Mineral-Rich Toothpaste Reduce Acidic and Sugary Foods...
Continue Reading
Teeth Reshaping for a More Symmetrical Look
Table of Contents What Is Teeth Reshaping? Teeth Reshaping to Fix Uneven Teeth Smile Balance Treatment How the Enamel Reshaping Procedure Works Tooth Shaving: What’s the Difference? What Are the...
Teeth Reshaping for a More Symmetrical Look
Table of Contents What Is Teeth Reshaping? Teeth Reshaping to Fix Uneven Teeth Smile Balance Treatment How the Enamel Reshaping Procedure Works Tooth Shaving: What’s the Difference? What Are the...
Continue Reading
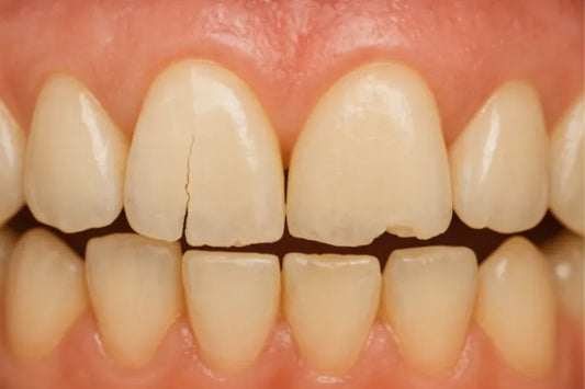
Is Tooth Shaving Always Required before Veneers?
Table of Contents What Are Veneers? What Does Teeth Shaving Mean? Do Veneers Always Require Teeth Shaving? How Much Tooth Is Shaved for Veneers? Risks of Shaving Teeth Minimal Prep...
Is Tooth Shaving Always Required before Veneers?
Table of Contents What Are Veneers? What Does Teeth Shaving Mean? Do Veneers Always Require Teeth Shaving? How Much Tooth Is Shaved for Veneers? Risks of Shaving Teeth Minimal Prep...
Continue Reading
Teeth Bonding and Why It’s Popular for Small Repairs
Table of Contents What Is Teeth Bonding? Types of Dental Bonding Materials Used in Teeth Bonding Why Is Teeth Bonding Popular? Common Uses of Cosmetic Tooth Repair Bonding for Chipped...
Teeth Bonding and Why It’s Popular for Small Repairs
Table of Contents What Is Teeth Bonding? Types of Dental Bonding Materials Used in Teeth Bonding Why Is Teeth Bonding Popular? Common Uses of Cosmetic Tooth Repair Bonding for Chipped...
Continue Reading
Transparent Teeth and the Best Ways to Restore Them
Table of Contents So, What Causes Teeth to Become Transparent? What Causes this Thinning? Dietary Culprits Medical Conditions Teeth Grinding (Bruxism) Genetics How to Stop the Erosion Right Now The...
Transparent Teeth and the Best Ways to Restore Them
Table of Contents So, What Causes Teeth to Become Transparent? What Causes this Thinning? Dietary Culprits Medical Conditions Teeth Grinding (Bruxism) Genetics How to Stop the Erosion Right Now The...
Continue Reading
Can Veneers Be Used to Cover Grey Teeth
Table of Contents Understanding Grey Teeth and Their Causes Intrinsic Staining Dental Trauma Dental Restorations Aging Why Grey Teeth Are Harder to Treat Can Veneers Effectively Cover Grey Teeth? Severe...
Can Veneers Be Used to Cover Grey Teeth
Table of Contents Understanding Grey Teeth and Their Causes Intrinsic Staining Dental Trauma Dental Restorations Aging Why Grey Teeth Are Harder to Treat Can Veneers Effectively Cover Grey Teeth? Severe...
Continue Reading
Jagged Teeth: What Causes Them and How to Fix Them
Table of Contents What Are Jagged Teeth? Common Causes of Jagged Teeth Natural Mamelons in Children Chipped Enamel Tooth Wear and Grinding (Bruxism) Dental Trauma or Injury Genetics and Tooth...
Jagged Teeth: What Causes Them and How to Fix Them
Table of Contents What Are Jagged Teeth? Common Causes of Jagged Teeth Natural Mamelons in Children Chipped Enamel Tooth Wear and Grinding (Bruxism) Dental Trauma or Injury Genetics and Tooth...
Continue Reading
No Prep Veneers for a Simple Smile Upgrade
Table of Contents What Are No-Prep Veneers? Why No-Prep Veneers Are Trending in New Zealand Quick Results Virtually Painless Procedure Natural Appearance Reversibility Confidence Boost The Benefits of No-Prep Veneers...
No Prep Veneers for a Simple Smile Upgrade
Table of Contents What Are No-Prep Veneers? Why No-Prep Veneers Are Trending in New Zealand Quick Results Virtually Painless Procedure Natural Appearance Reversibility Confidence Boost The Benefits of No-Prep Veneers...
Continue Reading
Best Color Combos for Braces in 2025
Table of Contents Why Braces Colors Matter Trendy Braces Color Ideas 2025 Best Braces Color Combinations for White Teeth Popular Braces Colors for Teens and Adults How to Choose Braces...
Best Color Combos for Braces in 2025
Table of Contents Why Braces Colors Matter Trendy Braces Color Ideas 2025 Best Braces Color Combinations for White Teeth Popular Braces Colors for Teens and Adults How to Choose Braces...
Continue Reading
Are Black Braces a Good Idea?
Table of Contents Why Black Braces Stand Out The Pros of Black Braces The Cons of Black Braces Do Black Braces Suit Everyone? Popular Alternatives to Black What If Someone...
Are Black Braces a Good Idea?
Table of Contents Why Black Braces Stand Out The Pros of Black Braces The Cons of Black Braces Do Black Braces Suit Everyone? Popular Alternatives to Black What If Someone...
Continue Reading
Laser Teeth Whitening: What to Expect
Table of Contents What is Laser Teeth Whitening? Laser Teeth Whitening Procedure Steps Consultation Teeth Cleaning Protection Whitening Gel Laser Activation Rinse and Evaluation Laser Whitening Before and After Results...
Laser Teeth Whitening: What to Expect
Table of Contents What is Laser Teeth Whitening? Laser Teeth Whitening Procedure Steps Consultation Teeth Cleaning Protection Whitening Gel Laser Activation Rinse and Evaluation Laser Whitening Before and After Results...
Continue Reading
Are Pink Braces Right for You? Complete Color Guide
Table of Contents Understanding Color Theory Braces Color Guide for a Brighter Smile Braces Colors for Girls Braces Colors for Boys What Colors to Avoid? Do Pink Braces Make Teeth...
Are Pink Braces Right for You? Complete Color Guide
Table of Contents Understanding Color Theory Braces Color Guide for a Brighter Smile Braces Colors for Girls Braces Colors for Boys What Colors to Avoid? Do Pink Braces Make Teeth...
Continue Reading