Table of Contents
- Types of Open Bite: Variations & What They Mean
- Anterior (Front) Open Bite
- What Causes an Open Bite: Habit, Structure & Development Factors
- What Issues Open Bite Can Cause: Beyond Just a Gap
- Treatment Options for Open Bite: From Mild to Complex Cases
- Orthodontic Correction: Braces or Clear Aligners
- Orthodontic Appliances and Adjunct Tools
- Combined or Advanced Treatments
- What to Expect: Treatment Timeline, Challenges & Long Term Care
- How Smilepath Can Help: Our Approach & What Makes It Different
- When You Should See a Professional: Warning Signs That Need Evaluation
- Take the Next Step with Smilepath
- Open Bite: Early, Accurate & Reliable Care
- FAQs
The open bite is a type of malocclusion in which the jaws do not close correctly, so the upper and lower teeth do not make contact. This creates a space between the upper and lower jaw at the front or back of the mouth, or both. This affects chewing, speech, looks, and comfort over time. And it becomes a real bite problem , not just a cosmetic issue.
At Smilepath, open bite treatment focuses on function first. This guide explains causes, types, treatment options, and how Smilepath helps restore a healthy, balanced bite.
Types of Open Bite: Variations & What They Mean
Not all open bites look the same. And they do not behave the same either.
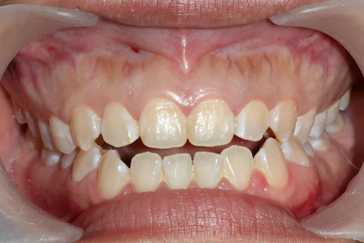
Anterior (Front) Open Bite
This is the most noticeable type of open bite. When the mouth closes, the front upper and lower teeth fail to touch. A gap stays visible even when biting down fully.
Anterior open bite often affects appearance first. Smiles appear open or incomplete. Eating certain foods becomes tricky. Speech sounds like “s” or “th” may be distorted. It is also the type most people notice in mirrors and photographs.
Posterior (Back) Open Bite
A posterior open bite is less obvious, but no less important. In this case, the back teeth do not meet when the jaw closes. The front teeth may touch, or they may not.
This type interferes with chewing efficiency. Food is not broken down evenly. The jaw muscles compensate, sometimes causing strain. Over time, this imbalance can lead to discomfort or uneven wear.
You might also hear it called an open posterior bite, especially in clinical settings.
Dental Open Bite
A dental open bite happens because of tooth position or eruption problems, not jaw structure. Teeth may tilt, over erupt, or fail to erupt properly. The jaws themselves are usually well aligned.
This matters because dental open bites often respond very well to orthodontic treatment like braces or clear aligners. Smilepath frequently treats these cases.
Skeletal (Jaw Structure) Open Bite
This type is driven by jaw growth patterns or skeletal structure. The bones themselves are involved. Treatment is more complex, and orthodontics alone is not enough.
Accurate diagnosis is critical here. Treating a skeletal problem as if it were purely dental leads to relapse. Smilepath emphasizes proper assessment so patients know what is realistic and what approach makes sense.
What Causes an Open Bite: Habit, Structure & Development Factors
Open bites do not appear overnight. It develops over time, often from a mix of habits, growth patterns, and dental development.
Childhood Habits
Thumb sucking, prolonged pacifier use, and similar habits put pressure on developing teeth. When these habits continue beyond early childhood, they push teeth forward and prevent normal eruption.
This is a common reason behind toddler open bite and early childhood cases. When addressed early, correction is easier. When ignored, the bite may worsen with age.
Tongue Thrusting
Tongue thrusting happens when the tongue presses against or between the teeth during swallowing or even at rest. Teeth respond to pressure. Over time, they move.
The tongue is strong. Constant pressure from it can keep teeth apart, maintaining or worsening an open bite even after orthodontic treatment if the habit is not corrected.
Mouth Breathing
Chronic mouth breathing, often due to nasal obstruction or enlarged adenoids, alters jaw posture. Lips stay open, the tongue rests lower, and facial growth patterns change.
This can influence both dental alignment and jaw development, increasing the risk of open bite formation.
Genetics and Jaw Growth
Sometimes it runs in families. Jaw growth patterns are inherited, and some facial structures naturally predispose a person to an open bite.
This is common in adult open bite cases where habits are no longer present, yet the bite persists.
Dental Development Issues
Delayed eruption, missing teeth, or mismatches between tooth size and arch size can all contribute. If teeth do not meet their natural counterparts, a gap remains.
Left untreated, these issues can combine with other factors and become harder to correct later.
What Issues Open Bite Can Cause: Beyond Just a Gap
An open bite is not only about appearance. It changes how the mouth works.
Chewing becomes inefficient. The front teeth may not bite into food properly. The back teeth may do all the work or none of it, depending on the type of open bite.
Speech can be affected. Certain sounds rely on tooth contact. When that contact is missing, clarity suffers.
Aesthetics matter too. Many people feel self-conscious about an open smile. Confidence takes a hit. Social interactions change in subtle ways.
Over time, uneven tooth wear may develop. Some teeth bear excessive force while others barely function. This imbalance can strain the jaw joints and muscles.
If left untreated, long-term issues may include TMJ discomfort, gum problems, and accelerated enamel wear. These are not cosmetic concerns. They are functional ones.
Treatment Options for Open Bite: From Mild to Complex Cases
The good news is that many open bite cases are treatable. The right approach depends on cause, severity, and growth stage.
Orthodontic Correction: Braces or Clear Aligners
For many dental open bites, orthodontic treatment is the main solution.
Braces for open bite have been used successfully for decades. They allow precise control over tooth movement and are effective in a wide range of cases.
Clear aligners have changed the landscape. For suitable cases, aligners can close open bites comfortably and discreetly. Smilepath specializes in aligner-based solutions that fit into real-life routines.
Aligners are removable, so eating is easier, and oral hygiene improves. Many adults prefer them for aesthetic reasons as well.
Orthodontic Appliances and Adjunct Tools
When habits contribute to an open bite, appliances may help. Habit breakers, tongue training devices, or myofunctional therapy can retrain muscle behavior.
In more complex dental cases, orthodontists may use auxiliary anchorage tools. These help guide tooth movement more predictably.
Smilepath evaluates whether these tools are needed and coordinates care accordingly.
Combined or Advanced Treatments
Skeletal open bites require a different mindset. Orthodontics alone may not be enough.
In severe cases, a combination of orthodontic treatment and jaw surgery may be recommended. This approach addresses the root structural problem, not just the teeth.
Treatment timing matters. Younger patients may benefit from growth modification. Adults require stable, well-planned correction.
What to Expect: Treatment Timeline, Challenges & Long Term Care
Treatment length varies. Mild cases may take months. More complex open bites take longer, especially when habits or skeletal factors are involved.
Diagnosis comes first. Distinguishing between dental and skeletal open bite is critical. Smilepath prioritizes this step because it determines everything that follows.
Retention matters because teeth have memory. Without proper retention, relapse can occur, especially in cases involving tongue thrusting or skeletal patterns.
Additional therapies may be recommended. Myofunctional therapy, breathing correction, or speech therapy can support long-term stability.
Orthodontic treatment is not just about moving teeth. It is about maintaining results.
How Smilepath Can Help: Our Approach & What Makes It Different
Smilepath offers modern, clear aligner solutions designed for real people with real lives and busy schedules.
We begin with thorough assessments to determine whether an open bite is dental or skeletal in nature. That distinction matters. It shapes expectations and outcomes.
For many dental open bite cases, Smilepath aligners provide an effective, discreet path to correction. Treatment plans are tailored, not generic.
When cases are complex, we do not force aligners where they are not appropriate. Smilepath coordinates with specialists when combined treatment is needed.
After care is not an afterthought. Retention and follow-up are built into the process to reduce relapse risk.
Most importantly, Smilepath believes in transparency. You know what is possible, how long it may take, and what the realistic outcome looks like before committing.
When You Should See a Professional: Warning Signs That Need Evaluation
Consider a professional evaluation if you notice a visible gap when biting down.
If chewing feels awkward. If speech sounds have changed. If mouth breathing or tongue thrusting persists.
Jaw discomfort or uneven tooth wear are also warning signs.
If you had braces before and developed an open bite after braces, do not ignore it. Relapse has causes, and they can be addressed.
If your goal is functional improvement, not just cosmetic change, proper diagnosis is essential.
Take the Next Step with Smilepath
Want your teeth to meet the way they should?
Smilepath clear aligners are designed to help correct open bite cases that fit the aligner treatment. Start with an assessment. Understand your bite. Make an informed decision.
A healthier bite starts with the right guidance.
Open Bite: Early, Accurate & Reliable Care
An open bite affects the way you eat, talk, and feel about how your teeth look. With an accurate diagnosis, many types of open bites can be effectively treated using modern orthodontic methods. As a result of the successful treatment of an open bite, functional improvements occur, and confidence is regained, all of which are ultimately beneficial for a person’s long-term oral health.
At Smilepath, we provide realistic, comfortable, and well-supported treatment options to help our patients overcome the challenges associated with open bites.
Correcting the bite creates more than a good-looking smile; it creates positive changes in the overall functioning of the mouth daily.
FAQs
The main types are anterior open bite (front teeth don’t touch), posterior open bite (back teeth don’t meet), dental open bite, and skeletal open bite.
A mild open bite shows a small gap between the teeth when biting down, often noticeable only when eating or smiling closely.
Neither is automatically worse. Anterior open bites affect appearance and speech, while posterior open bites impact chewing and function more.
It can be mild or serious. Untreated open bites may cause chewing problems, speech issues, tooth wear, and long-term jaw strain.

Australia
New Zealand
Malaysia
English
Portuguese
English
English
English
English
English
Canada