Table of Contents
An open bite is more than just a cosmetic dental issue; it can affect eating, speaking, and even jaw health. If you or your loved one is struggling with an open bite, it’s important to understand what causes it, how it impacts oral health, and what treatment options are available. In New Zealand, Smilepath provides expert orthodontic solutions, including clear aligners, to help correct an open bite and improve overall dental health.
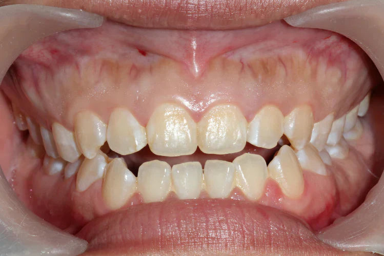
What is an Open Bite?
An open bite occurs when the upper and lower teeth don’t touch when the mouth is closed. This condition can develop in both children and adults, affecting either the front or back teeth.
Types of Open Bite
Anterior Open Bite: This happens when the top and bottom front teeth don’t meet when the jaw is closed and a gap is visible.
Posterior Open Bite:Usually occurs when the back teeth don’t touch, making it hard to chew food properly.
How Common is Open Bite in New Zealand
Open bite is a relatively common orthodontic issue in New Zealand. Some of the main contributors are:
- Using a pacifier for too long or habits like thumb-sucking and tongue thrusting push the front teeth forward.
- Genetics plays a big role. A naturally misaligned jaw structure can cause an open bite.
- Irregular jaw growth patterns or abnormalities can prevent teeth from closing properly.
Why Fix an Open Bite?
Ignoring an open bite can lead to functional and aesthetic issues. Fixing it early can prevent problems and improve oral health.
Functional Issues
Chewing difficulties: An open bite prevents proper biting and makes it hard to eat certain foods.
Chewing difficulties: Many people with open bites struggle with pronunciation, especially with the sounds “s” and “th”.
Jaw pain and TMJ disorders: An incorrectly aligned bite can put excessive strain on the jaw joints.
Aesthetic Concerns
Impacts self-confidence: A visible gap between the front teeth can make you feel self-conscious when smiling.
Facial structure changes: Severe cases can change the facial symmetry and the overall shape of the mouth.
Long-term Risks
Tooth wear: When there’s a dental misalignment, some teeth have to work harder to compensate and can wear down faster.
Gum problems: Misalignment can cause gum disease and inflammation.
Sleep apnoea risk: Open bite and jaw misalignment can contribute to breathing problems during sleep.
Treatment Options for an Open Bite
Fortunately, open bite correction is possible with several treatment options, depending on the severity and age of the patient.
Treatment for Teens
Early intervention is key to preventing an open bite from worsening. Some effective solutions include habit-breaking appliances that are specially designed to stop thumb-sucking or tongue-thrusting.
Myofunctional therapy can also be helpful in some cases. However, if none of the aforementioned methods work, an orthodontic treatment might be required.
Treatment for Adults
Adults with an open bite may require more advanced solutions. Your dentist or orthodontist might suggest clear aligners, such as those provided by Smilepath. These are clear plastic trays used in a series, that exert gentle pressure on the teeth to straighten them in a short time.
In case your issue is severe or clear aligners are not suitable for you, traditional metal braces might be suggested. However, for severe open bites caused by jaw structure issues, surgical correction may be necessary to reposition the jaw.
How Smilepath Can Help
Smilepath is a trusted orthodontic provider in New Zealand, offering customized clear aligners to address open bite issues effectively.
Here’s why Smilepath stands out:
- Personalized treatment plans: Each aligner plan is tailored to the patient’s needs.
- Convenience: Remote monitoring and at-home aligner treatment reduces the need for frequent clinic visits.
- Expert guidance: Our smile specialists are with you every step of the way.
Affordability & Payment Plans
Smilepath offers competitive pricing and payment plans so clear aligners are an affordable alternative to traditional orthodontic treatment. Patients can start now and not break the bank!
Conclusion
Open bite is a common dental misalignment that many people suffer from globally. It can lead to several issues including bite issues, speech impediments, aesthetic problems, and long-term dental risks such as gum disease and excessive tooth wear. Whether you are an adult or a child, seeking treatment for an open bite is important. This is exactly where Smilepath Clear Aligners come in, offering an affordable and discreet solution to your dental misalignment woes.
FAQs
The treatment time varies depending on the severity of the open bite but typically ranges from 6 to 18 months.
Clear aligners work well for mild to moderate open bites, but severe cases may require additional orthodontic treatment or surgery.
Yes, if left untreated, an open bite can worsen, leading to more severe functional and aesthetic issues.
Some mild cases may self-correct, but habit-related open bites usually require intervention to prevent worsening.
SmilePath provides a free online assessment to determine if clear aligners are the right solution for your open bite.
Related Blogs

What bite issues can clear aligners fix?
Read MoreCitations
Bronte. Common teeth issues where orthodontics can help. Orthodontics New Zealand. Published August 6, 2024. https://www.orthodontists.org.nz/common-teeth-issues/

Australia
New Zealand
Malaysia
English
Portuguese
English
English
English
English
English
Canada