Table of Contents
- What Are Brittle Teeth?
- Brittle Teeth Causes: Why Do Teeth Lose Their Strength?
- Misalignment or Malocclusion
- Enamel Erosion
- Vitamin and Mineral Deficiencies
- Acid Reflux or GERD
- Aging
- Teeth Grinding (Bruxism)
- Symptoms of Brittle Teeth
- Teeth That Chip Easily
- Increased Tooth Sensitivity
- Rough or Sharp Edges
- Weakness When Chewing
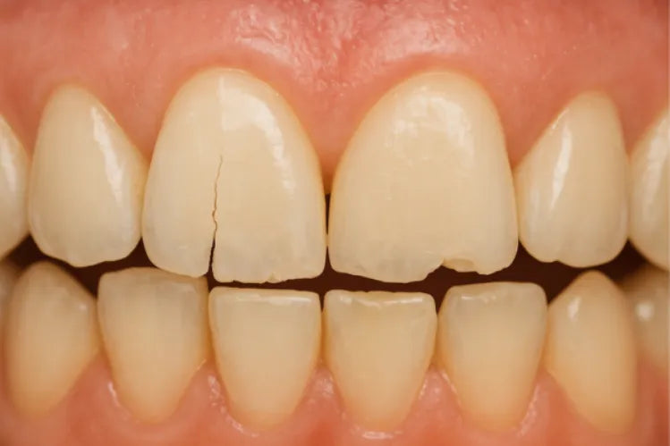
- Visible Cracks or Fine Lines
- Why Do Teeth Keep Breaking? The Escalation from Weak to Fragile
- Strengthening Solutions for Brittle Teeth
- Remineralizing Toothpaste and Fluoride
- Correcting Misalignment with Smilepath Clear Aligners
- Diet Adjustments and Mineral Support
- Reducing Acid Exposure
- Avoid Extreme Temperature Swings
- Night Guards for Grinding
- Professional Fluoride or Mineral Treatments
- Preventing Brittle Teeth: Daily Habits That Protect Enamel
- Stronger Teeth Start with Smarter Choices
- FAQs
Some dental problems creep up quietly. Brittle teeth are one of them. One month, everything feels normal. Then suddenly your teeth feel weak. A chip here, a tiny crack there, or weird sensitivity that wasn’t there last week. And you wonder, almost out loud: Why do my teeth keep breaking so easily? What’s happening?
It’s a frustrating experience, because brittle teeth aren’t dramatic at first. Let’s explore what’s really going on with brittle teeth, why it happens, how it feels, and what you can do to build stronger, more resilient enamel again.
What Are Brittle Teeth?
Brittle teeth is a term people use when their teeth feel fragile, crack easily, or seem structurally compromised. It isn’t a specific disease. More like a cluster of symptoms hinting that something deeper is going on.
Some describe it as weak teeth. Others say their teeth feel delicate, almost hollow. Some feel like their tooth enamel is thinning. And sometimes it’s all of those.
The condition varies wildly. A tooth might snap on a pistachio. Another might fracture overnight with grinding. Someone else may notice increased translucency, like the edges are turning glassy.
Now that you understand what brittle teeth are, the next step is to figure out what the cause is, so you can confidently work toward solutions.
Brittle Teeth Causes: Why Do Teeth Lose Their Strength?
If you’ve ever asked yourself; Why are my teeth so fragile, you’re definitely not alone. Many people have teeth that keep breaking unexpectedly. And it’s almost always due to one or more underlying factors. Let’s explore the big ones.
Misalignment or Malocclusion
When teeth do not fit together properly, certain areas take all the pressure. These pressure points weaken enamel and create the perfect environment for chips and cracks.
This is also why the Smilepath Clear Aligners are a part of the strengthening plan, not just a cosmetic fix.
Enamel Erosion
This is the classic cause. When enamel wears down, the tooth underneath becomes exposed and vulnerable. Acids from soda, energy drinks, citrus, reflux, and even frequent snacking can erode enamel over time.
When enamel thins, teeth feel weak; suddenly, the simplest foods seem dangerous.
Vitamin and Mineral Deficiencies
Sometimes the body simply isn’t getting what it needs to build strong enamel and dentin. The most common deficiencies that cause teeth to break include:
- Vitamin D deficiency
- Calcium deficiency
- Magnesium deficiency
- Vitamin K2 deficiency
These nutrients influence tooth density, enamel hardness, and even jawbone strength.
Acid Reflux or GERD
Stomach acid is incredibly corrosive. When it travels upward into the mouth, the enamel weakens. Over months or years, the surfaces become sandy and brittle.
Aging
People assume aging naturally weakens the teeth. That’s not entirely accurate. Aging accumulates wear. For some, enamel simply becomes thinner over decades of use. For others, saliva production decreases, which means less natural remineralization.
Teeth Grinding (Bruxism)
Teeth grinding silently destroys enamel. Many people grind at night, unaware of the pressure they place on their teeth. This pressure can be up to 200 pounds of force. Over time, micro-fractures accumulate. Eventually, this constant pressure can cause:
- Small fractures
- Flattened biting edges
- Chipped enamel
Here is where Smilepath Night Guards can help. They reduce grinding and distribute biting forces evenly. This allows teeth to stay stronger for longer.
Here’s how our night guard works:
Symptoms of Brittle Teeth
Brittle teeth rarely appear without warning. Some signs are obvious, others subtle. Paying attention helps prevent small issues from becoming expensive problems.
Teeth That Chip Easily
Have you ever bitten into something soft and still ended up with a crack? That is a hallmark sign. Teeth shouldn’t break from normal chewing. If they do, brittleness is a likely culprit.
Increased Tooth Sensitivity
Hot and cold drinks feel harsher. Even breathing cold air sometimes triggers discomfort. When enamel thins, nerves become more exposed, causing sensitivity.
Rough or Sharp Edges
If you run your tongue across the edge of your tooth and it feels uneven, brittle enamel may be breaking away in tiny pieces.
Weakness When Chewing
Teeth that feel as though they might snap during normal chewing usually need strengthening. This is one of the most common confessions from people with weak teeth.
Visible Cracks or Fine Lines
Craze lines, micro-cracks, and visible fractures indicate loss of structural integrity.
Now that symptoms make more sense, let’s connect the dots and see how brittle teeth develop into more serious damage. This brings us to the next point.
Why Do Teeth Keep Breaking? The Escalation from Weak to Fragile
Once enamel is compromised, its ability to withstand pressure decreases rapidly. Fragile teeth don’t break because you ate something hard. They break because the inner structure cannot hold up anymore.
Several things accelerate this:
- Repeated pressure
- Hidden cavities
- Vitamin deficiencies
- Grinding
- Misaligned bite
If your teeth keep breaking, your enamel is signaling distress. So, let’s figure out how to strengthen brittle teeth using proven, research-based methods.
Strengthening Solutions for Brittle Teeth
This is where the story shifts from worry to possibility. Teeth may weaken over time, but they are not beyond help. Several proven strategies can slow, prevent, and in some cases even partially reverse early enamel weakening.
Remineralizing Toothpaste and Fluoride
Fluoride remains one of the most widely studied and trusted ways to strengthen enamel. It supports remineralization, making teeth more resistant to acids from food and bacteria. But today, advancements go further than traditional fluoride.
Scientific-grade ingredients like hydroxyapatite and nano-hydroxyapatite mimic the natural mineral composition of enamel. Nano-hydroxyapatite particles are incredibly small. Small enough to enter microscopic enamel pores and rebuild the structure from within. This technology was first used by NASA for astronauts who lost mineral density in space, and it is now becoming a mainstream solution for brittle teeth.
A good remineralizing toothpaste:
- Replenishes calcium and phosphate
- Reduces sensitivity
- Repairs early enamel lesions
- Strengthens tooth surfaces long-term
If your teeth already feel weak, this should be one of your first upgrades.
Correcting Misalignment with Smilepath Clear Aligners
This solution surprises many because it doesn’t seem directly related to enamel. Yet misalignment is one of the top silent contributors to brittle teeth.
When teeth do not fit together properly:
- Pressure is uneven
- Enamel wears faster in certain spots
- Micro-cracks appear
- Grinding becomes more likely
- Chips happen more frequently
Smilepath Clear Aligners correct these force imbalances. They gently guide teeth into a healthier, more balanced position. Once your bite is aligned, pressure is distributed evenly across all teeth.
Diet Adjustments and Mineral Support
Food works like fuel for your teeth. Poor nutrition weakens them, but the right nutrients make them significantly stronger.
Here is what helps most:
Calcium
Essential for enamel and dentin health. Found in dairy, leafy greens, almonds, and fortified foods.
Vitamin D
This is the key that helps your body absorb and use calcium effectively. Even strong calcium levels won’t help if vitamin D is low. Sun exposure, oily fish, and supplements support this.
Magnesium
Works alongside calcium and strengthens the internal crystalline structure of enamel. Found in nuts, seeds, avocados, and legumes.
Vitamin K2
The underrated hero. It directs calcium to where it belongs, including bones and teeth, while keeping it away from soft tissues where it’s not needed.
So, what vitamin strengthens teeth the most? Vitamin D and K2, together, create the strongest mineralization pathway, ensuring calcium is actually deposited into the tooth structure.
Even small improvements in diet can reduce brittleness over weeks and months.
Reducing Acid Exposure
Acid is the enemy of enamel. It dissolves mineral content, making teeth soft, fragile, and prone to chipping.
Acid sources include:
- Soft drinks
- Citrus fruits
- Vinegar-rich foods
- Carbonated drinks
- Coffee
- Flavored water
To protect your teeth:
- Consume acidic items with meals
- Rinse with water afterward
- Avoid brushing immediately after acidic foods
- Limit long sipping sessions, which prolong exposure
Small habit changes can prevent significant enamel loss.
Avoid Extreme Temperature Swings
Here is something many don’t realize. Enamel expands slightly when exposed to heat and contracts when exposed to cold. Rapid alternation between extremes creates mini-stress fractures over time.
Picture sipping hot coffee, then immediately drinking iced water. It feels normal. But your enamel feels the impact. Avoid this whenever possible. Give your mouth a moment to adjust to the temperature changes.
Night Guards for Grinding
Grinding applies extreme pressure on teeth. Up to several hundred pounds in a single clench. Over time, this pressure weakens enamel, causes micro-fractures, and leads to brittleness.
A well-made night guard absorbs the force instead of your teeth. If you wake with jaw tightness, headaches, or flattened tooth edges, a night guard may be essential.
Professional Fluoride or Mineral Treatments
Dentists offer in-office treatments that strengthen enamel more aggressively than home products. Options include:
- Concentrated fluoride varnish
- CPP-ACP mineral treatments
- Nano-hydroxyapatite applications
- Protective dental sealants
These treatments help rebuild mineral density, especially when brittleness is already visible. Early intervention works best.
To keep your teeth strong after treatment, prevention becomes essential.
Preventing Brittle Teeth: Daily Habits That Protect Enamel
You now understand the causes, symptoms, and strengthening solutions. To maintain improvements, daily preventive habits matter.
Use a Soft Toothbrush
Hard bristles scrape enamel and irritate gums. A soft or ultra-soft toothbrush cleans effectively without causing abrasion. Brush gently, almost like polishing something delicate.
Stay Hydrated
Saliva is your body’s natural defense system. It neutralizes acids, carries minerals that help remineralize enamel, and maintains the mouth balanced. Drinking water throughout the day helps support saliva flow and protects against weakness.
Avoid Over-Whitening
Whitening too often or using harsh products can cause the enamel to become porous. This leads to increased sensitivity and faster wear. Whiten in moderation and follow recommended intervals so your enamel can recover. T
he Smilepath Teeth Whitening Kit is dentist-approved and designed to brighten your smile without compromising your enamel. When you follow the recommended guidelines, you protect your teeth from the common risks associated with over-whitening
Regular Dental Visits
Brittle teeth often start silently. Dentists catch early signs, recommend strengthening treatments, and prevent small issues from becoming big, expensive ones. Prevention almost always costs less than restoration.
These habits, combined with strengthening solutions, create long-lasting protection. This brings us to something many readers wonder next.
Stronger Teeth Start with Smarter Choices
Strengthening brittle teeth isn’t about quick fixes; it’s about understanding the causes, recognizing the symptoms early, and choosing habits that protect enamel long-term. With the right minerals, smarter daily routines, and professional guidance, your teeth can become stronger, healthier, and far less prone to breaking.
And if misalignment is part of the problem, Smilepath Clear Aligners offer a gentle, affordable way to balance your bite and reduce enamel stress. Your smile deserves care, not compromise. Start small, stay consistent, and give your teeth the resilience they’ve been missing.
FAQs
Yes. Through remineralizing toothpaste, improved diet, alignment treatment, fluoride, and protective habits, brittle teeth can become stronger over time.
Treatment depends on the cause. Options include fluoride varnish, mineralizing agents, night guards, alignment treatment like Smilepath, and dietary improvements.
Calcium, vitamin D, magnesium, and vitamin K2 deficiencies are commonly linked to fragile teeth and enamel loss.
Teeth do not regrow dentin or enamel in the traditional sense, but remineralization can restore weak areas and strengthen the structure.
Vitamin D and K2 together support mineral absorption and enamel resilience. Calcium and magnesium also play important roles.
Citations:
Buzalaf, M. A. R., Pessan, J. P., Honório, H. M., & Ten Cate, J. M. (2011). Mechanisms of action of fluoride for caries control. Monographs in Oral Science, 22, 97–114. https://doi.org/10.1159/000325151
Pushpalatha, C., Gayathri, V. S., Sowmya, S. V., Augustine, D., Alamoudi, A., Zidane, B., & Bhandi, S. (2023). Nanohydroxyapatite in dentistry: A comprehensive review. Saudi Dental Journal, 35(6), 741–752. https://doi.org/10.1016/j.sdentj.2023.05.018
Amaechi, B. T., Lemke, K. C., Saha, S., Luong, M. N., Gelfond, J., et al. (2021). Clinical efficacy of nanohydroxyapatite-containing toothpaste at relieving dentin hypersensitivity: An 8-week randomized controlled trial. BDJ Open, 7, Article 23. https://doi.org/10.1038/s41405-021-00080-7
Botelho, J., Machado, V., Proença, L., Delgado, A. S., & Mendes, J. J. (2020). Vitamin D deficiency and oral health: A comprehensive review. Nutrients, 12(5), Article 1471. https://doi.org/10.3390/nu12051471
Thayer, M. L. T., & Ali, R. (2022). The dental demolition derby: Bruxism and its impact — Part 1: Background. British Dental Journal, 232(8), 515–521. https://doi.org/10.1038/s41415-022-4143-8

Australia
New Zealand
Malaysia
English
Portuguese
English
English
English
English
English
Canada